
Pancreatic and Biliary Surgery
Specialty Topics
Precise Surgery for Pancreatic Cancer
Pancreatic and biliary surgeries are highly complex, requiring long durations and carrying significant risks of bleeding and postoperative complications. Radical surgeries for pancreatic and biliary cancers, in particular, demand advanced techniques and a delicate approach. To prevent recurrence after surgery, curative resection and initiating adjuvant chemotherapy early are essential. However, these challenging procedures place a significant burden on recovery time, making it crucial to minimize the invasiveness of the surgery.
In addition to achieving high curability, I have developed a surgical technique that minimizes blood loss while maintaining high curative rates. This method focuses on the precise structures surrounding the pancreas, such as nerves and fibrous tissues (NFT-based resection). This approach has enabled us to achieve high curability, shorten surgery time, reduce blood loss, and decrease the length of postoperative hospitalization. As a result, early initiation of adjuvant chemotherapy has become feasible, leading to improved treatment outcomes.
This advanced surgical technique is highly regarded both domestically and internationally. Surgeons from across Japan and abroad visit Tokyo Medical University Hospital to learn this technique.


by high curative potential and minimal blood loss.
Robotic Pancreatectomy for Pancreatic and Biliary Tract Tumors
To provide patients with minimally invasive surgical options, we have been actively involved in robotic-assisted pancreatoduodenectomy for pancreatic and biliary tract tumors, and our institution was one of the first in Japan to introduce this technique. These surgeries are highly complex and challenging, but we applied the concept of NFT-based resection, traditionally performed through open surgery, to robotic-assisted surgery. Leveraging our extensive experience with laparoscopic surgery, we have established safe and reliable robotic pancreaticoduodenectomy and robotic distal pancreatectomy.
These surgeries require highly advanced skills. Our hospital has performed numerous robotic pancreatectomies, and the surgical techniques we have developed are highly regarded both domestically and internationally, influencing many medical institutions.
Indications for robotic pancreatic surgery include low-malignancy tumors such as intraductal papillary mucinous neoplasms (IPMN), mucinous cystic neoplasms (MCN), pancreatic neuroendocrine tumors (pNEN), and solid pseudopapillary tumors (SPN), as well as malignant tumors such as pancreatic cancer, distal cholangiocarcinoma, and ampullary cancer.

Multidisciplinary Therapies for Locally Advanced Unresectable Pancreatic Cancer
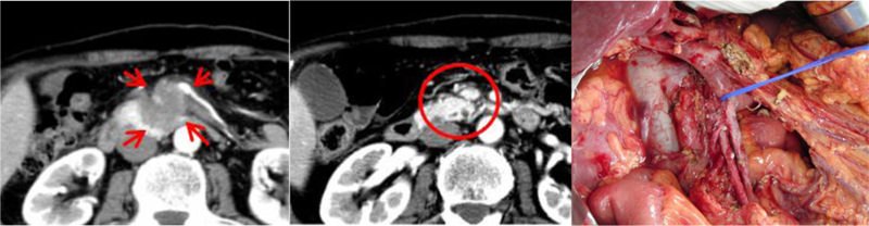
We are committed to "never giving up on treatment" in our approach to pancreatic cancer. Even when a patient is diagnosed with locally advanced unresectable cancer, we pursue every possible treatment option through multidisciplinary therapies, always striving for the possibility of resection. In cases of advanced pancreatic cancer where the tumor has invaded the major arteries around the pancreas, making surgery difficult, we actively combine chemotherapy and heavy ion therapy to reduce the tumor size. As a result, we are seeing an increasing number of cases where patients initially diagnosed as unresectable become candidates for surgery (Conversion Surgery). We are fully dedicated to the treatment of our patients, envisioning the day they overcome cancer.


pancreatic body cancer invading the celiac artery
Surgery for Biliary Cancer Using Image-Guided Navigation
Radical surgery is essential for the treatment of biliary cancer. The surgical approach varies depending on the tumor’s location. In cases of hilar cholangiocarcinoma, extensive liver resection is necessary, requiring advanced medical techniques. In addition to accurately assessing the extent of cancer progression for radical surgery, precise preoperative imaging is crucial.
To perform biliary cancer surgeries with high safety and radicality, we utilize image-guided navigation to precisely simulate the bile duct resection site. Our hepatobiliary-pancreatic surgery team holds detailed conferences to determine the optimal surgical approach, ensuring that the surgery is performed with precision.
